У столичній клініці «Оксфорд-медікал» для естетичної корекції дефектів зубів застосовують керамічні і прямі вініри https://oxford-med.com.ua/services/stomatology/viniry. Як відбувається їх установка?
Чим вініри відрізняються від протезів?
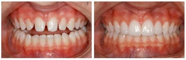
Це абсолютно різні підходи до виправлення дефектів зубів. Протез замінює втрачений зуб і дозволяє людині вести повноцінний спосіб життя і нормально харчуватися. Вінір є способом естетичної корекції зубів і приховує дефекти пошкоджених і здорових зубів.
Протези бувають знімними або стаціонарними, але в будь-якому випадку вимагають особливо ретельної гігієни порожнини рота і специфічного догляду за штучною щелепою. Ортопедичні керамічні і прямі вініри — це частина зуба. Вони не викликають дискомфорту і не вимагають додаткового догляду. Досить два рази в день чистити зуби пастою і застосовувати якісний розчин для додаткового ополіскування.
За допомогою вінірів швидко і надовго:
- маскується темна емаль, відколи, тріщини, нерівності поверхні зуба;
- ховаються сліди від старих пломб, карієсу, невдало реставровані зуби;
- зникають широкі просвіти між зубами;
- виправляються аномалії прикусу і криві зуби.
Вініри допомагають швидко привести в порядок область посмішки, підвищити привабливість, виглядати молодше і відчувати себе впевнено.

Прямі або миттєві вініри
Це чудовий спосіб швидко виправити дефекти. Прямі вініри лікар встановлює за 1 сеанс без препарування зуба і пошкодження природної зубної емалі. Склокераміка наноситься безпосередньо на зуб, потім лікар з пластичного матеріалу формує необхідну форму. Після обробки світлом композитний матеріал надійно схоплюється з зубом і захищає його від зовнішніх пошкоджень.
Прямі вініри хороші, коли від дефекту потрібно позбутися максимально швидко: весілля, свято, зустріч випускників, нова робота або важливе побачення. Для установки вінірів досить одного дня, і насолоджуватися відмінною посмішкою ви зможете кілька років.
Керамічні вініри
Це довгострокові накладки, термін експлуатації — до 20 років. Їх установка займає кілька днів - потрібен зліпок і індивідуальне виготовлення кожного вініру. Кераміка вимагає обточування зубів. Установка накладки відбувається на надійний стоматологічний цемент. Кераміка не відрізняється від натуральних зубів.


